VAUGHAN

905-832-3264

WHITBY

905-425-4253

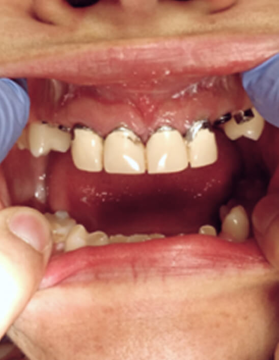
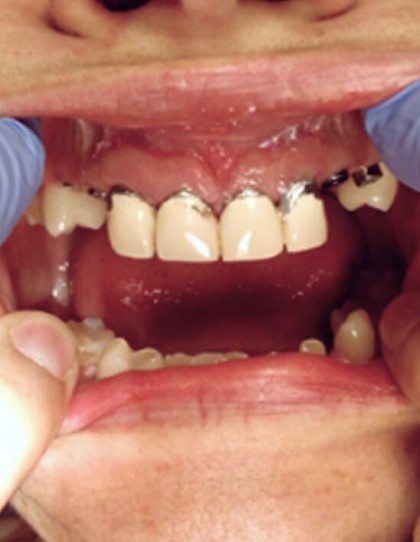
Implants Gallery

Smile with confidence again! Our dental implants blend seamlessly with your natural teeth — just take a look at these amazing results!

SCHEDULE A CONSULT