VAUGHAN

905-832-3264

WHITBY

905-425-4253

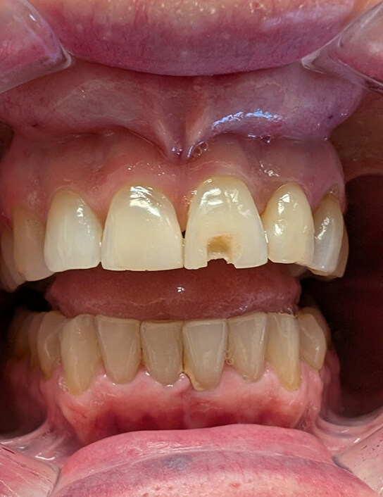
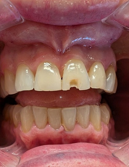
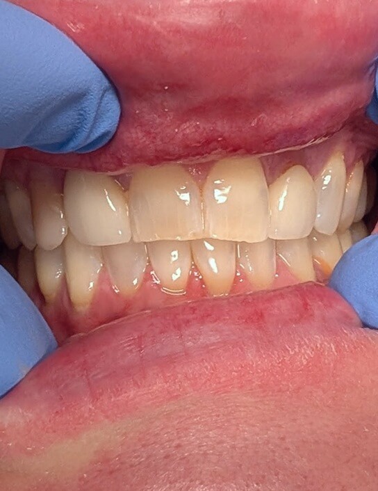
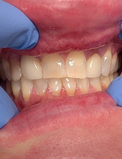
Porcelain Veneers

These before-and-after photos show how our veneers can reshape your smile to address chips, gaps, discoloration, and broken teeth.

SCHEDULE A CONSULT